Atelectasia en tímpano izquierdo Inicio
Dr. José María Castillo y Dr. Carlos Daniel Sztern
Hospital Español de La Plata
Ir a
artículo de otitis crónicas
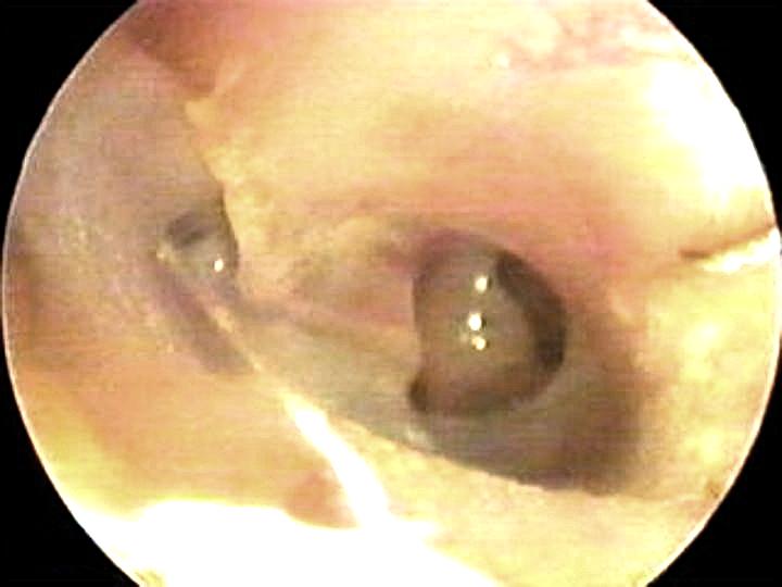
Atelectasia en tímpano izquierdo (bullas en caja timpánica)
.jpg)
Otitis media crónica exudativa;
Perforación timpánica en los cuadrantes posteriores

Atelectasia en tímpano izquierdo
Adherencia
entre membrana timpánica y yunque

![]()
Gran
perforación timpánica
Se visualizan martillo estribo y yunque

Perforación timpánica

Perforación timpánica

Perforación timpánica

Perforación timpánica en oído derecho

Otitis media crónica en oído izquierdo
Perforación marginal en oído izquierdo
Riesgo de desarrollo de colesteatoma
(quiste o acúmulo de queratina en caja timpánica)

![]()