Cuerpos extraños en otorrinolaringología (
Dr. José María Castillo y Dr. Carlos Daniel Sztern
Hospital Español de La Plata
A: CUERPOS EXTRAÑOS EN OÍDOS
1) INANIMADOS O ANIMADOS
Diagnóstico por interrogatorio y otoscopia.
a)
INANIMADOS
1) Minerales (pequeñas piedras, objetos metálicos.)
2) Vegetales (semillas, algodones)
3) Sintéticos (plásticos de biromes)
4) Químicos (solventes, combustibles, pilas)
El paciente generalmente consulta por dolor y otorragia (hemorragia del oído) si se ha intentado la extracción infructuosamente.
b)
ANIMADOS
1) Insectos: voladores o terrestres. El paciente consulta por el ruido generado por el insecto.
2) Larvas: consulta por intenso dolor otorragia o supuración serosanguinolenta (hay antecedente de otitis media crónica, entrada de mosca y posterior dolor intenso)
c) CASOS ESPECIALES
1) Daños por objetos contundentes: hisopos, palillos, horquillas, instrumentos médicos.
Provocan laceraciones de la piel de conducto y /o ruptura timpánica con daño en cadena osicular y oido interno, pudiendo provocar inclusive cofosis.
2) MECANISMO DEL DAÑO
a) Autoprovocado.
b) Iatrogénico. (Al intentar sacar indebidamente un cuerpo extraño.)
a1) Minerales = calmar el dolor si hay.
Dar antinflamatorios y atb en caso de otorragia y enviar al orl para su extracción.
a2) Vegetales = indicar gotas de alcohol 4 veces al día y enviar al orl. No hacer lavaje para evitar que aumente de tamaño.
a3) Sintéticos = igual a los c/ extraños minerales
a4) Químicos = poco frecuente. Reviste urgencia. Requiere de aspiración meticulosa con otomicroscopio y tratamiento local específico según cada caso. No hacer lavajes. (Podría haber perforación timpánica.) Calmar dolor, higiene externa con antisépticos y enviar al orl.
Ante cuerpos extraños inanimados: Generalmente no hay lesiones en el oído y no existe urgencia hasta que se ha intentado la extracción sin entrenamiento y sin los elementos adecuados.
Animados
b1)insectos: moscas, mosquitos, insectos terrestres.
Colocar aceite o vaselina para inmovilizarlo. enviar al orl para su extracción por aspiración o lavaje.
b2) larvas: (miasis) dar analgésicos, atb., infusión de albahaca y calomel.
Llamar al orl, este realizará la extracción de las larvas con otomicroscopio a veces requiere anestesia general.
Lesiones de conducto con instrumentos contundentes autoprovocadas o iatrogénicas
c1) lesiones de conducto sin perforación de membrana =aspiración con microscopio; gotas óticas.
c2) perforación de membrana con o sin daño osicular y de oído interno = dar antibióticos y analgésicos. No dar gotas óticas. >> se debe realizar reconstrucción por medio microcirugía de oído.
............................................................................................................................................
Rinorrea unilateral : se trata de un cuerpo extraño hasta que se demuestre lo contrario.
Síntomas: obstrucción nasal unilateral, rinorrea purulenta o epistaxis.
Inanimados : Son mas frecuentes que los animados. Mas comunes en chicos o en disminuidos mentales. También de causa iatrogénica o traumática. Otras causas: alojamiento retrógrado de alimentos por vómito.
Minerales:
papeles, espuma de goma, piedras, gomas de borrar, crayones, botones, pequeños
juguetes, y elementos de metal, caramelos. Rinolitos: formado por incrustaciones
de sales de magnesio y calcio en un cuerpo extraño.


Vegetales: arvejas, porotos, maní.
Animados: larvas e insectos: en zonas calurosas y secas.
Factores predisponentes: rinosinusopatías, ocenas, tumores rinosinusales, rinitis costrosas. Pacientes con higiene deficiente.
La miasis generada pude ser localizada o generar áreas de destrucción masiva, con sepsis y meningitis. Químicos: pilas pequeñas merecen una mención especial :
El contenido de estas produce daño extenso, necrosis tisular, secuelas como
perforaciones septales y sinequias.

El daño depende también de la duración del contacto de los tejidos con los químicos derramados.
Iatrogénicos: tapones nasales, algodones, agujas, y trozos de instrumentos. Fragmentos óseos o cartilaginosos en postoperatorios.
Traumáticos: vidrios, metales, dientes, hueso.
Diagnóstico: algunas veces es simple cuando el paciente informa la presencia. Cuando hay edema y hemorragia, es mas difícil la visualización.
Métodos = rinoscopia anterior, fibroscopía, endoscopia rígida y rx.
Tratamiento:
extracción;
(no enviar el c/ extraño a rinofaringe y mas allá.........)
con el instrumental adecuado
haciendo anestesia y vasoconstricción local con la
ayuda de microscopio orl; a veces se requiere anestesia general.
Animados: instilación de solución suave con éter y extracción. Cirugía
Consideraciones especiales: las baterías en fosas nasales, son casos que requieren extracción urgente, posterior desbridamiento y atb locales.
Las semillas requieren extracción pronta >> se hinchan, se ablandan y se deshacen.
Todo cuerpo extraño en nariz se debe extraer después del diagnóstico en forma pronta para evitar su cambio de posición y alojamiento en vías aéreas inferiores o digestivas.
.............................................................................................................................
Pueden ser causa de muerte por asfixia y ocurrir antes de
llegar al hospital.

Síntomas:
Laríngeos: disfonía, disnea, estridor, tiraje y tos.
Esofágicos: sialorrea, odinofagia, disfagia o afagia. Enfisema subcutáneo.
Faríngeos: odinodisfagia. Enfisema subcutáneo.
Tipos de estridor:
Estridor inspiratorio: indica una obstrucción glótica o supraglótica.
Estridor en ambos tiempos: obstrucción glótica o subglótica.
La mayor incidencia es entre el año y los 3 años de edad.
Causas:
1) Falta de molares.
2) Menor coordinación en la deglución e inmadurez en la elevación laríngea y cierre glótico.
3) Mayor tendencia a la exploración colocando objetos en la boca.
4) Están corriendo o jugando cuando comen.
Cuerpos extraños en vía aérea
1) En niños = son dos veces mas frecuentes en varones.
2) En niños = materia vegetal es lo mas frecuente en un 70 %. (Semillas, maní).
3) En niños = materiales plásticos ocurren en un 10% de los casos.
4) En adultos = lo mas frecuente es trozos de hueso, alimentos varios, dientes, espinas y semillas (maní).
1) El cuerpo extraño mas frecuente en niños son monedas en un 75% de los casos, pilas y objetos metálicos angulados en un 20 %.
2) En adultos lo mas frecuente es huesos de pollo, espinas de pescado, carne en trozos mal masticados por mala dentición(en adultos mayores).
1) Se ven mas en adultos que en niños y lo mas frecuente son espinas de pescado clavadas en base de lengua y en amígdalas, palos de orégano y pelos.
Diagnóstico:
La clínica es muy orientadora y en la mayor parte de los casos, es lo que define el manejo de la vía aérea en la urgencia.
Examen orofaríngeo, laringoscopia indirecta y fibroscopía. (Con vía aérea estable en casos de c /ext. de laringe). (Imprescindible en c. Ext. De hipofaringe)
Gases en sangre = pueden ser normales en un paciente a punto de obstruirse. (De valor dudoso)
Rx simples de perfil de cuello con técnica para partes blandas en hiperextensión son de utilidad para objetos radio opacos.
Con un trago de bario si la rx simple sugiere un c/ extraño radio lúcido.
Médico = 1) oxigeno humidificado, 2) hidrocortisona
En obstrucción laríngea aguda por bolo alimenticio = maniobra de Heimlich
Instrumental quirúrgica, si no funciona lo previo =
1) Cricotirotomía o ventilación por trocar cricotiroideo. (Solo por 30 minutos y si la obstrucción no es total).Una vez extraído endoscópicamente el cuerpo extraño, cerrar la cricotirotomía o en su defecto, una vez estabilizado el paciente, convertir a una:
2) Traqueotomía baja prontamente si por algún motivo no se pudiera restituir la vía aérea natural.
Manejo de los cuerpos extraños de hipofaringe: Visualización por laringoscopia indirecta y por fibroscopía.
Extracción con pinza de indirecta, laringoscopios de Chevalier Jackson o Holinger.
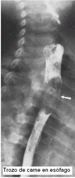
Manejo de cuerpos extraños de esófago:
1) Diagnóstico clínico-rx
2) Extracción por esofagoscopía rígida.
..............................................................................................................................................................
Dr. José María Castillo y Dr. Carlos Daniel Sztern
Hospital Español de La Plata. Argentina.